SOFTWARE XELIS
Planificación y tratamiento de implantes
Optimice la planificación y el tratamiento de implantes con algoritmos automatizados
-
-
Canal mandibular
El conducto dentario se extrae automáticamente
-
Arcos Maxilares y Mandibulares
El arco maxilar y mandibular se identifican automaticamente.
-
Listas de Anotaciones e Implantes
Los resultados de las anotaciones y los implantes insertados se guardan automaticamente en cada lista para facilitar el acceso y la gestión.
-

Crear, envíar y compartir informes personalizados.
-
-
Plantillas Personalizadas
Personalice una plantilla de informe para satisfacer las necesidades de su clínica/instalación. Imprímalos o expórtelos como archivo PDF.
-
Enviar informe DICOM
Una vez que haya terminado con su informe, envíelo al servidor PACS con solo un click. Puede consultar fácilmente el informe de su PACS, sin tener que abrir Xelis Dental.
-
-
-
Informe de Implante
Crea un informe de implante autocompletado que contiene toda la información necesaria (ubicación del implante, tipo, calidad de hueso, etc.) que se necesita para realizar una cirugía de implante o hacer una derivación de implante.
-
Guardar Proyecto con Visor
Guarda su informe y todas las imágenes relevantes como un solo proyecto. Puede exportar los archivos en un CD / USB en un formato ligero para compartirlos con su paciente u otros especialistas médicos.
-

Visualización avanzada
Facilidad de visualiación y analisis avanzado para varias especialidades
-
-
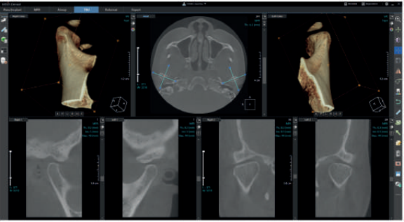
Comparación de TMJ
La comparación automática de la TMJ ayuda a los especialistas orales y maxilares en la evaluación de los trastornos de la TMJ (lesión de la mandíbula, inflamación, etc.)
-
-

-
-
Evaluación de la vía respiratoria
La segmentación automática de las vías respiratorias y la superposición de colores ayudan a los especialistas en ENT y a los radiólogos en la evaluación de los trastornos respiratorios (apnea obstructiva del sueño)
-
-

¡Videos tutoriales del software!
CÓMO UTILIZAR LA LISTA DE IMPLANTES
COMO USAR REPOSICIÓN O RESTAURACIÓN
COMO USAR LA FUNCIÓN CURVA DE ARCO
COMO TRAZAR EL CANAL MANDIBULAR
CÓMO MANIPULAR LA IMAGEN PANORÁMICA
CÓMO INSERTAR UN IMPLANTE
CÓMO USAR LA DENSIDAD ÓSEA
CÓMO UTILIZAR LA LISTA DE IMPLANTES
CÓMO USAR LA VISTA DE VERIFICACIÓN
CÓMO MEDIR EL VOLUMEN DE LOS SENOS NASALES